
655+ 5-Star reviews
Permanent Teeth Solutions – $195 Consultation with 3D Imaging
Over 25 years of implant experience
Financing and payment plans available
Comfortable, judgment-free care for every stage of tooth loss
By submitting, you confirm that you consent to receive SMS and email messaging from Mellert Dental Associates using the contact information you provide. Msg & Data rates may apply. Reply STOP at any time to unsubscribe.
25+
Years of Implant Experience
600+
5-Star reviews
Over 30
Years of Experience
Can't pay for treatment all at once? No problem. We offer financing through CareCredit so you can spread out the costs of care over time

Crowns & Bridges


Snap-on Smile®





James W. Mellert D.D.S., MAGD
Dr. Mellert is a South Bay native and USC dental graduate. In Torrance since 1982, his practice places special emphasis on aesthetic, periodontal, and implant dentistry. Dr. Mellert’s state-of-the-art office features 3-D Galileo imaging for dental implant diagnosis, the latest generation of digital radiography, and digital impressions with the iTero® Scanner. Dr. Mellert is also the 3rd generation of the Mellert family to practice dentistry in Los Angeles! He enjoys practicing dentistry alongside his daughter, Dr. Houck, to provide patients a multidisciplinary approach to dentistry.
Early in his career, Dr. Mellert developed a passion for periodontal therapy including gum grafting and implant placement. Over the past forty years of his career, he has dedicated an average of 50 hours annually to continuing education focusing on the advances in periodontal treatment including connective tissue grafting with the PinHole® Surgical Technique and the VISTA Technique. Dr. Mellert is so gratified by seeing the amazing long term successful dental results over the span of decades. There are many patients in our practice who have been treated by at least three generations of Mellert dentists!
Exceeding all patient’s expectations with the ease of dental treatment and helping an extremely anxious patient overcome their greatest fear is the most rewarding aspect of dentistry to Dr. Mellert. He strives to provide the best and easiest option to meet each of his patient’s dental needs.



Jamie Houck D.D.S., FAACA
Dr. Houck is an enthusiastic, gentle, and passionate dentist who focuses on patient-centered care. She earned her BA in Psychology from Point Loma Nazarene University and her DDS degree from the Herman Ostrow School of Dentistry of USC. Dr. Houck is proud to be a fourth-generation USC dentist and is blessed to practice alongside her father, Dr. James Mellert. She is passionate about preventative and conservative dental treatment for patients of all ages.
Dr. Houck is a top-trained Invisalign® clear aligner doctor. She served on the Board of Directors of the American Academy of Clear Aligners (AACA) from 2017-2025, and continues to mentor other doctors so they can provide the best Invisalign® treatment for their own patients. She has received the Prestigious Fellowship Award for her excellent Invisalign® results through the AACA in 2023 and was a speaker at the Invisalign® annual Summit in Las Vegas in 2025.
Straightening teeth through the use of clear aligners has allowed Dr. Houck to give patients life-changing confidence in their smiles. Dr. Houck truly believes in changing lives through compassionate dental care one smile at a time.

Steven B. Brown D.D.S., FAGD
Since graduating from the University of Southern California Dental School, Dr. Brown has practiced dentistry locally in the South Bay. Throughout his career, he has developed a particular interest in sleep-related breathing disorders and their management with dental appliances.
Dr. Brown has taken extensive coursework focusing on sleep related disorders at both USC and UCLA. He has also participated in seminars through the California Sleep Society and attended workshops and conferences through the American Academy of Dental Sleep Medicine, of which he has been a member since 2011.
If you are a patient who is intolerant to a CPAP machine, Dr. Brown would love to meet and discuss with you how he might be able to assist your condition with oral appliance therapy!

$195 Consultation with 3D Imaging
Don't miss your chance to transform your smile and restore your confidence!
Permanent Teeth Solution Consultation With 3D Imaging
$195
Includes:
3D imaging for precise planning
Exam
personalized treatment plan
second opinion welcome
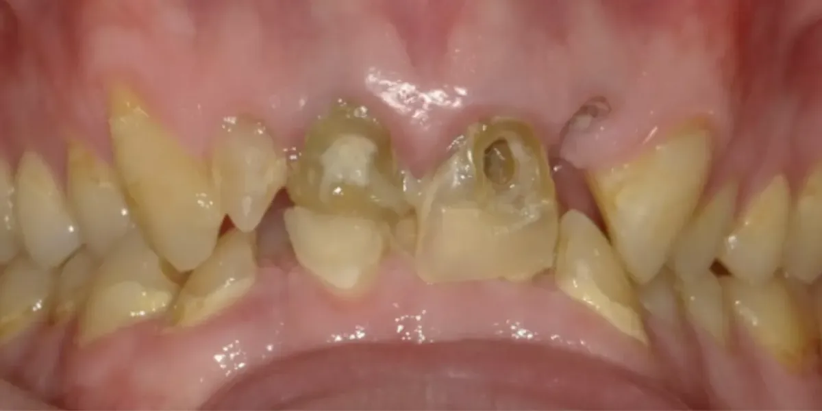
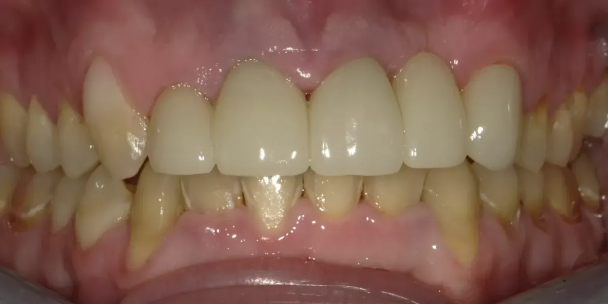
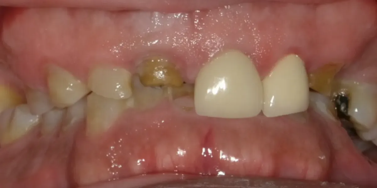
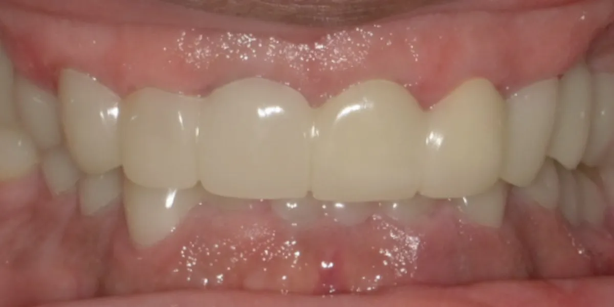
Unlike dentures, which can slip or cause discomfort, implants are securely anchored in the jaw bone, providing a natural feel and long-lasting solution. With proper care, implants can last for decades.
Dental implants do more than just replace teeth. They stimulate your jaw bone, just like a natural tooth root would. This keeps bone density alive and prevents the sunken look that can happen with missing teeth.
With implants, you can get back to smiling, laughing, and eating all your favorite food again. Implants are designed to look, feel, and function just like the rest of your natural smile.
We'll assess your oral health, discuss your goals, and use advanced 3D imaging to create your custom implant roadmap.
You'll leave with a clear understanding of your options, timeline, and costs.
When you lose a tooth, you also lose the roots that keep it in place. Your doctor will add a small, screw-like post made of titanium into your jaw bone.
This acts like the root of your missing tooth.
Over the course of several months, your jaw bone will grow around the titanium post, holding it firmly in place.
This will keep your jaw strong and prevent it from deteriorating over time.
After your jaw heals, your doctor will attach a new, custom-made tooth to the post — this is called a crown.
The crown will be shaped and colored to perfectly match your other teeth.
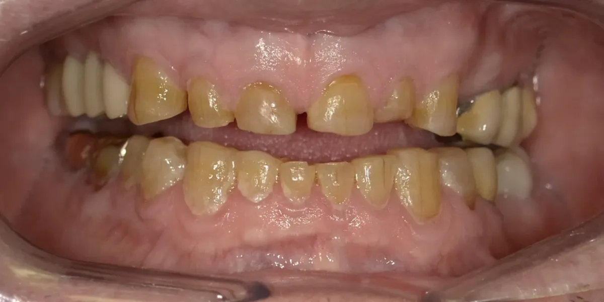
Jaw bone begins to weaken
Without a tooth root's stimulation, your jaw bone begins to shrink immediately after tooth loss. This can make future implant placement difficult or even impossible.
Teeth shift out of place
The gap left by your missing tooth allows surrounding teeth to move. This shift can complicate future implant placement and cause severe bit issues.
face will start looking older
Jaw bone loss can lead to a sunken facial appearance, making you look older than you are. Getting implants can help you maintain your youthful features for years to come.
Complimentary Second Opinions — Always Welcome
Already received an implant recommendation? Our implant specialists are happy to provide a complimentary second opinion. With extensive training in implant dentistry, we'll review your case thoroughly and give you an honest assessment so you can make the best decision for your long-term oral health.
Roni K.
"Dr.Mellert and Staff are amazing ! I had a dental implant and crown done recently at James Mellert Dental Associates and I am so thankful for the excellent care. DR. Mellert explained everything clearly, treated me with patience,and made me sure I was comfortable. He was very honest about my sinus situation and helped me choose the best option for my health. The staff are also wonderful---friendly helpful, caring throughout my visit. Highly recommend this clinic!"
Christina V.
"I have been a patient of Dr James Mellert for about 19 years. I got an implant, a bone graft and a crown and have no complaints. Dr Mellert is trustworthy, knowledgable, personable and a great surgeon. I got also a couple of fillings by Dr Brown who I can also highly recommend. When they say anxiety free, it is definitely true. I am highly recommending Dr Mellert and Associates!"
Teresa E.
"Dr Mellert and whole team are the utmost professionals with incredible knowledge, kindness, and follow through. His understanding of unique implant situations and various solutions is a great depth acknowledge and it is a pleasure to have them help me ..could not ask for a better experience and I’m so incredibly grateful"
Ryan P.
"Recently, I had the privilege of being a patient at Dr. Mellert’s dental practice and am thoroughly impressed with the high level of care I received. Undergoing an implant surgery and addressing two other serious dental issues naturally caused me quite a bit of anxiety.
Dr. Mellert’s team was the epitome of professionalism and empathy, offering an unparalleled patient experience. Every staff member I interacted with was not only extremely competent, but also genuinely caring and attentive. Their kindness made me feel comfortable and truly cared for."
Willian L.
"Congratulations to Dr. Mellert and his staff and associates on their 100 years, 4 generations of family dentistry. I have been a patient of theirs for some 38 years and I have always enjoyed and appreciated their efforts to provide me with excellent dental care. From cleanings, fillings, crowns, night guards and Invisalign treatments they have been there for me providing excellent care."
Sharon B.
"Dr. Mellert and staff are the best. I have been a patient for years and always get excellent service. Very professional and consistent dental office. I travel a distant because I know I will always get excellent service. Dr. Mellert is very knowledgeable and takes pride in his work. He also have some of the best hygienist which are very friendly and make you feel very comfortable with your cleanings. I’m very happy to be a patient here."
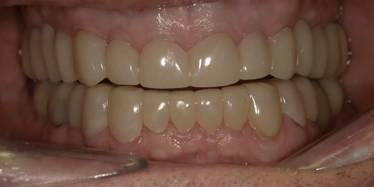
Get back to enjoying life with a complete smile.
Get back to enjoying life with a complete smile.
Hours
Monday – Friday: 8:30am – 5:00pm
Saturday – Sunday: Closed
Phone
office
3480 Torrance Blvd, Ste 100, Torrance, CA 90503
Powered by Wonderist Agency, WonderFunnels | Privacy Policy